Zahnarztpraxis A. G. Graz

Interner Sinuslift

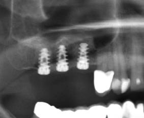
Interner Sinuslift gemacht in der Zahnarztpraxis A. G. Graz

in 71696 Möglingen, Im Heuleger 28, Tel.: 07141-482981, www.praxis-graz.de

Das ist ein sehr minimal invasiver Eingriff, um die Kieferhöhlenschleimhaut bei einer unzureichender Knochenhöhe hochzuheben und die Implantate unter der Kieferhöhle setzten zu können.

 

Mit einem Stab (Osteom) wird die Kieferhöhle angehoben, Knochenersatzmaterial Cerabone wird unter die Kieferhöhlenschleimhaut mit
einem Stab eingeschoben.
Das Knochenersatzmaterial Firma Botiss
Cerabone
  wird aus dem Rinderknochen
gemacht und mit ca. 1200 Grad im Offen
gesintert. Damit ist er gegen Prionen (BSE) sicher.

 

 

  

                                                       

 

 

Danach werden dort Implantate eingesetzt.
Beachten Sie bitte, dass alle Implantate mit
dem Knochenersatzmaterial komplett bedeckt sind.

Nach ca. 6 Monaten ist der implantierte
Rinderknochen um die Implantate zu eigenem
 sehr kompaktem Knochen umgebaut worden,
das viel fester ist, als der eigene Kieferknochen
des Oberkiefers. So wird der Knochen stark mit dem Knochenersatzmaterial verdichtet so das
Implantate mit ihrem groben Gewinde sehr gut im Knochen verankertwerden.